INTRODUCTION
The Surgery Clerkship Ultrasound requirements aim to provide clinically relevant education on how to use point-of-care ultrasound (POCUS) during your Surgery clerkship. The ultrasound requirements are designed to give you a deeper understanding of some of the concepts taught during the clerkship through the experience of ultrasound.
Ultrasound at the bedside to document the presence of free fluid in the abdomen, chest, and pelvis along with imaging of the gallbladder is performed on the majority of patients that are seen in the trauma or other surgical setting. Since these aspects of the FAST exam and gallbladder are so frequently performed, we want our medical students to be proficient at this exam as they move through this clerkship.
QUICK LINKS:
MCG C/O 2027 Clerkship Ultrasound OrientationEmail Ultrasound Image LinkFAQ
Educational Ultrasound Informed Patient ConsentSURG US Image and Case Info Upload Link
HOW TO DOWNLOAD IMAGES FROM MACHINES OTHER THAN LUMIFY
Philips SparqSonositeGECart-Based Ultrasound
LEARNING OBJECTIVES
At the end of this module, you will be able to:
TO DO
Complete the following quizzes (includes patient consent attestation, image upload, and mock case scenario questions) prior to the end of your Surgery clerkship rotation by submitting 3 separate quizzes in this D2L course by the noteddue dates.
You will receive feedback on your images by email after they are graded. Quizzes must be completed by due dates.
WHAT DOES THE SURGERY CLERKSHIP ULTRASOUND IMAGE REQUIREMENT INCLUDE?
The Surgery Clerkship Ultrasound requirement consists of documentation of the presence or absence of free fluid in the chest, abdomen, and pelvis (FAST Scan) as well as a gallbladder image.
Alternatively- You may complete one or all of your ultrasound image requirements in the operating room under direct faculty supervision. Saving images is not required in this setting. You will complete the same submission survey and attest to imaging performed in the operating room and indicate the email address of the faculty member who directly supervised your image acquisition.
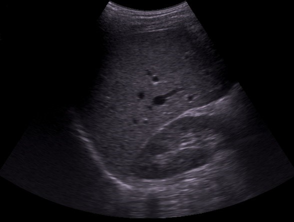
WHAT SHOULD THE IMAGES FOR THE SURGERY CLERKSHIP ULTRASOUND REQUIREMENT LOOK LIKE?

Right Upper Quadrant

Subcostal 4-Chamber Heart

Gallbladder

Left Upper Quadrant

Pelvis
DO I NEED TO DOCUMENT INFORMED CONSENT FOR THE PATIENT BEFORE I BEGIN THE EDUCATIONAL ULTRASOUND?
Yes, you will need to ask your preceptor and the patient if you can perform an educational ultrasound for your Surgery Clerkship Ultrasound requirement. Once the patient has agreed to be scanned, you will need to explain the procedure to them and include the following aspects:
After reviewing this information with the patient, the student will ask the patient to type their name and sign theEducational Ultrasound Informed Patient Consent. Images will NOT be accepted for the requirement if the patient does not complete this consent.
WHAT DOES THE SURGERY CLERKSHIP ULTRASOUND REQUIREMENT QUIZ INCLUDE?
The Surgery Clerkship Ultrasound Requirement Quiz includes:
WHAT IF I HAVE TROUBLE OBTAINING PATIENTS FOR IMAGING, IDENTIFYING EQUIPMENT TO USE, OR HAVE TROUBLE UPLOADING IMAGES?
Contact Katie Comeaux atkcomeaux@augusta.eduor call 706-721-5695
CUSE YOUTUBE CHANNELClinical US ebookClinical US ibook downloadInteractive casesMaking Healthcare Safer