Skip to main content
Back to Top
Augusta University Logo

Information for:

  • Current Students
  • Alumni
  • Community
  • Faculty & Staff
  • 伟德betvicror
  • Patients

Resources

  • 伟德APP
  • Calendar
  • 伟德1946英国
  • D2L LMS
  • Email
  • 伟德1946客户端下载
  • MyAugusta
  • News
  • 伟德1946娱乐城
  • Portals
  • Pounce
  • 伟德1946网页版
  • Admissions
  • 伟德1946亚洲娱乐城
  • About
  • Student Life
  • Athletics
  • Research
  • Health
  • Giving
Core Laboratories
  • Core Labs
  • Shared Research Services
  • iLab
  • Augusta University
  • Research
  • Core Laboratories
  • Human MRI Imaging Core

Human MRI Imaging Core

The Human MRI Imaging Core Facility is a core dedicated to providing cutting-edge magnetic resonance imaging services for human participants.

  • Current Instruments
  • About Us
  • Neuroimaging
  • Abdominal Imaging
  • MSK Imaging
  • Vascular Imaging
  • Cardiac Imaging
  • MR Spectroscopy
  • Breast Imaging
  • Other Imaging
  • Advisory Committee

Policy and price for using 3T Research MRI


Instruments

Siemens Vida 3T MRI Scanner

Siemens Vida 3T MRI scanner
  • Technical operation and safe work environment provided by clinically certified MR technologists.
  • Equipped with high-performance imaging coils (e.g., 64-channel head coil), for high-resolution and accelerated imaging.
  • Paired with functional MRI stimulation hardware and software from Nordic Neuro Lab.
  • Capable of performing a wide range of clinical and research techniques, including:
    • High-resolution structural imaging (e.g., MSK, Brain)
    • Spectroscopy
    • Task-based, event-based, and resting-state Functional MRI (fMRI)
    • Perfusion
    • Anisotropic Diffusion Imaging
    • Relaxometric parameter mapping
    • MR Elastography

PST Mock MRI Simulator

PST Mock MRI Simulator
  • Participant acclimation in the MRI environment (e.g., Pediatric studies)
  • Reduction of failed scans from participant motion or claustrophobia
  • Training of participant for functional imaging tasks

3T Siemens Magnetom Vida with BioMatrix technology and turbo suite excelerate package

  • Features:
    • Bore size – 70 cm
    • Gradient amplitudes: 60mT/m
    • Maximum Gradient slew rate: 200 T/m/s
    • Maximum number of RF receivers : 128 independent channels
    • Minimum FOV 5 mm
    • Max FOV 55x55x50 cm
  • Coils available:
    • 64 channel head
    • 20 channel head and neck
    • 32 channel spine (posterior)
    • 18 channel standard body
    • 18 channel large & small flex

About Us

Our Team

Ali S. Arbab, MD, PhD

  • Scientific Director

706-721-8909

aarbab@augusta.edu

Nathan Yanasak, PhD

  • MRI Physicist

706-721-3602

nyanasak@augusta.edu

Felicia Ford, AS, RT

  • MRI Coordinator

706-721-3566

fford@augusta.edu

Kyle Osteen, RT

  • MRI Technologist

706-721-3566

kosteen@augusta.edu

Imaging

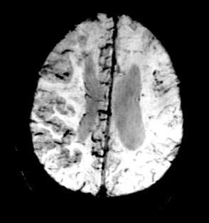
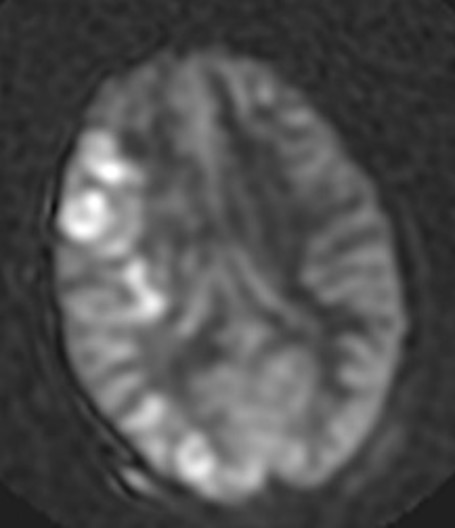
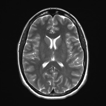
Neuroimaging

All basic MRI for anatomical images (like T2WI, T1WI, GRE, etc), Neuro perfusion, DSC-based perfusion, DCE-based perfusion and permeability, Cerebral blood flow (2D and 3D ASL), Advanced less-distorted DWI, Selective excitement. DTI (B-value ranges from 0 -10000 s/mm2, directions 256) and fMRI (NordicNeuroLab fMRI and Visual system).

Click images for larger view and description

  • T1WI
  • T2WI
  • FLAIR
  • DWI
  • ADC
  • SWI
  • SWI
  • DTI (FA map)
  • FA dir map
  • Tractography
  • fMRI
  • CBF
  • DCE MRI

Abdominal Imaging

All standard sequences for anatomical imaging with or without fat suppression. All advanced sequences for liver imaging for determining fat and iron, MR Elastrography to determine liver fibrosis.

Click images for larger view and description

  • 3D T1
  • Respiratory sensing Abd imaging
  • Free breathing dynamic liver scan
  • MRCP
  • Elastopgraphy to detect fibrosis in liver

MSK

Basic sequences, T1, T2, T2* mapping. WARP and Advanced WARP (metal implant).

Click images for larger view and description

  • Knee joint
  • Hip joint
  • Shoulder joint
  • Lumbar and sacral vertebrae
  • Foot/Ankle

Vascular Imaging

Pre and post-contrast MRA. Post-contrast multiphasic MRA. MR-DSA. Arterial wall thickness and atherosclerotic plaques can be determined.

Click images for larger view and description

  • MRA (brain)
  • Dynamic post-contrast MRA
  • MRA of carotids
  • Phase contrast MRA

Cardiac Imaging

MRI is considered gold standard for myocardial thickness and changes in the relaxivity due to chemotherapy and other injury. T1- T2-, T2* maps can be created.

Click images for larger view and description

  • Myocardial thickness
  • Relaxivity due to chemotherapy or other injury

Magnetic Resonance (MR) Spectroscopy

Magnetic resonance (MR) spectroscopy is a noninvasive diagnostic test for measuring biochemical changes in the brain, especially the presence of tumors. MR spectroscopy compares the chemical composition of normal brain tissue with abnormal tumor tissue.

Click images for larger view and description

  • MR spectroscopy 1
  • MR spectroscopy 2
  • MR spectroscopy 3
  • MR spectroscopy 4

Breast Imaging

  • Breast imaging

Other Imaging

Click images for larger view and description

  • Cervical spine
  • Brachial plexus
  • Whole body DWI

Advisory Committee

David Blake, PhD

dblake@augusta.edu

Lane Estes, MD

thoestes@augusta.edu

Sarah Guediche, PhD

sguediche@augusta.edu

Jay Hedge, MD

jhegde@augusta.edu

Tuba Kalelioglu, MD

tuba.kalelioglu@wellstar.org

Nathan Yanasak, PhD

nyanasak@augusta.edu

Felicia Ford, AS, RT

fford@augusta.edu

Ali S. Arbab, MD, PhD

aarbab@augusta.edu

University Shield

Augusta University

1120 15th Street, Augusta, GA 30912

  • Campus Maps
  • Campus Contacts
  • 伟德APP
  • Degrees & Programs
  • Employment
  • Accessibility
  • Accreditation
  • Campus Safety
  • Compliance Hotline
  • Human Trafficking Notice
  • Privacy Notices
  • Title IX / Sexual Misconduct
伟德1946手机版 Give Now

©2025 Augusta University

Facebook Twitter LinkedIn Youtube Instagram
©
Baidu
map