MCG is the only medical center in the CSRA (Central Savannah River Area) to offer a variety of advanced magnetic resonance imaging.
Advanced MR Imaging differs from typical MRI, which only provides structural information regarding organs such as the brain, spinal cord, and various structures of the head and neck. Physicians specializing in the diagnosis of neurological diseases with high-tech imaging (neuroradiologists) oversee the performance of these special studies which are generally only available at major academic medical centers in the United States such as the Georgia Health Sciences University. Here is a brief description of these techniques and a few examples of clinical applications for each:
FUNCTIONAL MRI-This is a method of evaluating regional changes in blood flow associated with various types of brain activity. Each brain activity is associated with a task that one may perform in everyday life. Such activity may include moving a finger, think of words that rhyme, or remembering a set of numbers. By observing regional changes in blood flow and analyzing data from these images, maps of activation can be generated which display the active areas in the brain responsible for these various important functions (e.g., movement, speech, emotions, and memory). This method has been used by neuroradiologists to aid neurosurgeons in treatment planning prior to surgical removal of brain tumors, vascular malformations, cortical malformations and other intracranial mass lesions in order to avoid surgical removal of vital brain tissue involved in these important functions and thus reduce overall surgical risk.
Example of a language task with fMRI showing activation (yellow arrows) far removed from an enhancing tumor (blue arrows):
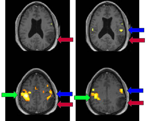
Example of a patient with a left parietal tumor (red arrows) performing a left hand motor task; primary right motor cortical activation (green arrows) is seen, but displacement of left hemispheric activation (blue arrows) is also demonstrated. Some of the left hemispheric activation borders on the margins of the tumor. Knowing this will help a neurosurgeon decide how much of a tumor can be safely removed without causing a postoperative permanent neurological deficit (e.g., paralysis, numbness, or difficulty with movement).

DIFFUSION TENSOR IMAGING-This new method allows neuroradiologists to visualize and characterize the health and direction of white matter tracts in the brain. One can think of these tracts as "wiring" between different parts of the brain that allow us to perform different tasks. If this "wiring" breaks down, as in the case of a stroke or an invasive tumor, brain behavior may be affected. This technique is very useful in diseases such as multiple sclerosis. Variations of this diffusion technique have recently been commonly used to diagnose acute strokes, but the ability to closely examine white matter in the brain is relatively new.

Apparent diffusion coefficient (ADC) map on the left and fractional anisotropy (FA) map on the right of a normal volunteer, demonstrating normal white matter tracts in the brain (on the color scale, red regions are higher in [ADC or FA, respectively] value than blue regions).
In addition, diffusion tensor imaging allows tractography, enables visualization of white matter tractsas they appear in the brain, as demonstrated below (displaying the genu and splenium of the corpus callosum):

MAGNETIC RESONANCE SPECTROSCOPY---This is a method to examine the brain metabolites to evaluate the nature of brain mass lesions which may be nonspecific in appearance on conventional structural MRI. This is often used to confirm absence or presence of tumor, although other applications also exist.
The following proton magnetic resonance spectroscopy study demonstrates a right occipital lobe tumor, with associated typical metabolic abnormalities (reduction in NAA and slightly elevated choline peak); the normal left occipital lobe spectrum is on the right, and the abnormal tumor spectrum is on the left side of the image below:

MCG currently has two 1.5 tesla MRI scanners in addition to a third in an adjacent affiliated VA hospital, and a new state-of-the-art 3.0 T MRI scanner.
We are involved in multiple research projects at MCG involving advanced MR imaging as well, involving multiple sclerosis, brain tumors, and epilepsy.